Maroc : une anomalie génétique rare révélée

- 07h00 - Maroc - Ecrit par : P. A

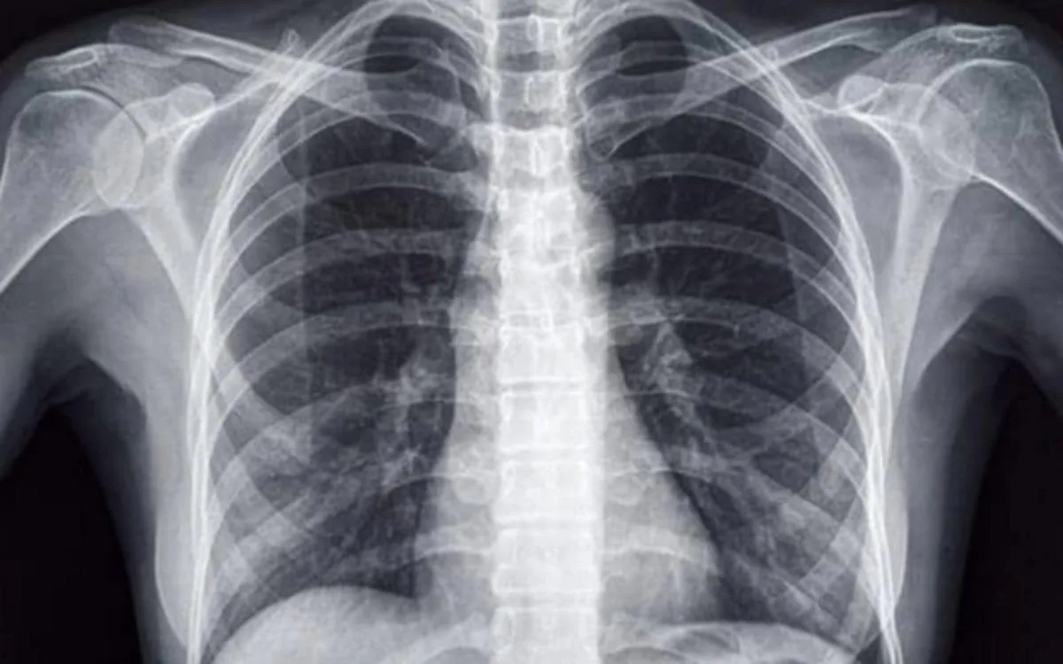
Alors qu’elle s’est rendue à l’hôpital en raison de crampes abdominales causées par une appendicite, une Marocaine de 15 ans, originaire d’Al Hoceima, a découvert qu’elle souffrait d’une anomalie congénitale rare.

Appelée « situs inversus », cette anomalie congénitale rare et complexe se transmet de façon génétique et héréditaire ou peut se greffer sur d’autres pathologies. « C’est une anomalie dans laquelle un ou plusieurs organes sont situés du côté opposé à celui qu’ils occupent normalement. Cette condition se produit avec une fréquence de seulement 0,01 % et peut concerner la totalité des organes, ou n’être que partielle en cas de “situs inversus incomplet” », explique à la MAP, Fatiha El Ghadouri, le médecin traitant de l’adolescente.

À lire : Un enfant marocain opéré à cœur ouvert d’une malformation congénitale en Israël

La spécialiste précise que « l’absence de malformations dans les organes permet aux personnes concernées de mener une vie normale, sans aucun problème de santé, ce qui rend la découverte de ces cas souvent fortuite », ajoutant qu’en 30 ans de service, elle n’a rencontré que trois cas de cette anomalie congénitale. Dr. Abdeladim Chaquibi, chirurgien général, fait observer pour sa part qu’il n’existe pas de lien entre l’appendicite et le « situs inversus  », l’appendicectomie ayant été réalisée du côté gauche plutôt que du droit.

À lire : Jude, 10 ans, atteint d’une maladie rare détectée au Maroc

Le père de la jeune fille, Abdelouafi El Banoudi, n’a pas caché sa surprise à l’annonce de cette anomalie par les médecins traitants qui l’ont toutefois rassuré qu’elle n’affectera pas la santé de sa fille. Une fois guérie de l’appendicite, la jeune fille a regagné son domicile et repris le chemin de l’école.

  • États-Unis : un enfant marocain sauvé de la surdité

    Aux États-Unis, un garçon marocain né « sourd profond », en raison d'une anomalie très rare, présente sur un seul gène, a subi une intervention chirurgicale qui a connu un franc succès. Une première dans le pays.

  • Maroc : une jeune fille de 14 ans sauvée d'un mariage

    Grâce à l'intervention du procureur du roi près le tribunal de première instance de Sefrou, une jeune fille de 14 ans a été sauvée d'un mariage coutumier. L'affaire fait l'objet d'une enquête.

  • Le Maroc pleure la mort de la "fille de la lune" Fatima Ezzahra Ghazaoui

    Fatima Ezzahra Ghazaoui, 31 ans, star marocaine des réseaux sociaux, a perdu son combat contre la Xeroderma pigmentosumn, une maladie génétique rare à l'origine d'une hypersensibilité aux rayonnements ultraviolets, qui interdit toute exposition au soleil.

  • Un avion de Royal Air Maroc contraint de faire demi-tour

    Un Dreamliner de Royal Air Maroc (RAM) devant relier Casablanca à Istanbul a dû faire demi-tour en plein vol et se poser en urgence à l'aéroport Mohammed V duquel il avait décollé environ 1 heure 30 minutes plus tôt.

  • Découverte d'une nouvelle maladie rare au Maroc

    Un nouveau gène a été découvert par une équipe de médecins marocains. Sa mutation est responsable d'une nouvelle maladie rare qui peut faire perdre la vue.

  • Zagora : une disparition qui inquiète

    Salama Rmili, une jeune femme marocaine résidant avec ses parents dans la province de Zagora, est portée disparue depuis une semaine. Sa famille est sous le choc.

  • Un bébé prématuré marocain sauvé par un transfert médicalisé vers Malaga

    Un enfant né prématuré au Maroc en raison du décollement placentaire survenu chez sa mère, a été transféré d'urgence dans un hôpital mieux équipé à Malaga pour bénéficier de soins plus adaptés. Aux dernières nouvelles, le bébé est hors de danger.

  • Supporters marocains en danger : la malaria frappe en Côte d'Ivoire

    Plusieurs Marocains ayant effectué le déplacement sur la Côte d'Ivoire pour soutenir les Lions de l'Atlas à la coupe d'Afrique des nations, ont affirmé sur les réseaux sociaux avoir été infectés par la malaria, suscitant des inquiétudes parmi les supporters marocains.

  • Latifa Raafat en fuite ? elle répond

    La chanteuse marocaine Latifa Raafat a mis fin à la polémique sur sa fuite présumée du Maroc en raison de son implication dans l'affaire « Escobar du désert » dans laquelle son ex-mari, Ahmed Benbrahim, est le principal accusé.

  • « Escobar du désert » : Latifa Raafat menace

    La chanteuse marocaine Latifa Raafat menace de poursuivre les activistes de réseaux sociaux qui l'accusent d'être impliquée dans l'affaire « Escobar du désert », du nom du Malien Ahmed Benbrahim, son ex-mari incarcéré à la prison d'Oukacha à Casablanca.